「削る量を最小限にし、できるだけ外科的侵襲を伴わない処置をする。」 この考え方を「Minimal Intervention」といい患者様、歯科医にとっては双方の願いでもあります。
しかしながら外科的治療を施さなければ完治しない病変も少なからず存在し、時と場合によっては「思い切った決断」を必要とする場合もあります。
![]() |

![]() |
![]() |
| 上図の抜歯をした際のX線画像 |
![]() |
![]() |
![]() |
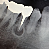
歯内療法か?外科的療法か?病理組織的には病変に上皮があれば歯根嚢胞(外科的療法必要)、上皮がなく繊維と血管だけの場合は歯根肉芽腫(歯内療法で治癒可能)と呼ばれますが、実際の所レントゲン(CTを含む)で判断するのは困難です。臨床の現場ではまず歯内療法のみを選択しますが、治癒しない場合は外科的療法(嚢胞摘出&歯根端切除術)に移行するといった流れになることが多いです。 |
|
![]() |
![]() |
↓
![]() |
![]() |
![]() |
〒657-0855
兵庫県神戸市灘区摩耶海岸通2-3-3-103
TEL 078-802-8877
FAX 078-802-8877
